Články

Jak vybělit zuby
08.10.2017

Ani při sebelepší péči o chrup se mnohdy nelze vyhnout jeho mírnému zabarvení. Barvu zubů ovlivňují částečně genetické dispozice, ale také řada vnějších faktorů jako například kouření, užívání některých léků nebo konzumace určitých potravin a nápojů. Nežádoucí zabarvení zubů lze v takovém případě odstranit profesionálním bělením. Vybrat si lze ze dvou základních metod - ordinačního a domácího bělení. U obou se používá gel s obsahem peroxidu, ale u ordinačního bělení je jeho koncentrace vyšší a zesvětlení docílíme v kratším čase. Domácí bělení sice probíhá déle, ale šetrněji, a dlouhodobou aplikací lépe dosáhneme světlejšího odstínu zubů. Obě metody je však možné i kombinovat. číst >

Zuby moudrosti
07.09.2016

Zuby moudrosti, známé také jako třetí stálé stoličky, jsou vzadu v ústech posledními zuby v řadě. Nevyrůstají sice u každého z nás, u většiny lidí se však prořezávají, ale až po 17. roce života. Horní hranice růstu „osmiček“ v zásadě neexistuje, může se stát, že někomu se začnou klubat velice pozdě. číst >

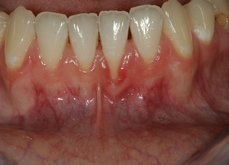
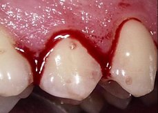
Zánět dásní
07.09.2016

Zánět v dutině ústní je nejčastějším jevem, se kterým se stomatologové při preventivních prohlídkách setkávají. A přestože podle statistik určitou formou ústního zánětu trpí až 90% lidí, většina postižených tento problém neřeší nebo o něm dokonce ani neví, protože chronický zánět bolí jen zřídka. Přitom i pouze malý zánět dásně u jednoho zubu, který je ve svém počátečním stádiu dobře léčitelný, může přerůst v parodontitidu – zánět komplexního závěsného aparátu zubu - závažné onemocnění, jehož důsledky jsou bohužel nevratné. Dobrou zprávou však je, že terapie a především prevence gingivitidy, tedy zánětu dásní, je vcelku jednoduchá: správná domácí péče o zuby a pravidelná profesionální dentální hygiena a preventivní prohlídky v ordinaci stomatologa. číst >

Trhání zubu - extrakce
07.09.2016

Extrakce neboli trhání zubu znamená jeho vybavení ze zubního lůžka. Lékař k tomuto nejčastějšímu stomatochirurgickému zákroku přistupuje většinou tehdy, když je zub nevratně poškozen, například v důsledku kazu nebo úrazu, tedy natolik, že jej již nelze spolehlivě zrekonstruovat, a dále pak v pozdních stádiích parodontitidy, případně z ortodontických důvodů. číst >

Růst zubů u kojenců
07.09.2016

Růst zoubků je záležitost, kterou si projde každé miminko a jeho rodiče. Některé děti tento proces snášejí lehce, jiné jej mohou vnímat s obtížemi. Co se v ústech kojence během růstu zubů děje a jak lze toto období ulehčit? číst >

Piercing
19.03.2013 MUDr. Jan Stuchlík

Jsou situace, kdy piercing v jazyku dělá divy. Nemám teď na mysli to, co vy. Totiž že dva piercingy se mohou zamotat. Nic jiného vás snad ani napadnout nemohlo. Mluvím samozřejmě o potížích se zuby! číst >