Autotransplantace zubu je zákrokem ne příliš rozšířeným a známým a naše klinika jej nabízí jako jedno z mála pracovišť. Jde o zákrok, při němž stomatolog transplantuje na chybějící místo v ústech vlastní zdravý zub. Transplantace zubu může účinně nahradit implantaci umělé náhrady.
Jde o metodu vhodnou například v situacích, kdy si dítě vyrazí zub při sportu nebo při úrazu, kdy zub samotný není poškozený. Obvykle se mohou přenášet i nepotřebné třetí moláry (zuby moudrosti).
Přirostlý vlastní zub je na rozdíl od implantologického řešení trvalejší a odolnější. Transplantovaný zub pak zprostředkuje klientovi při kousání důležité tlakové vjemy, tvar korunky u dásně je přirozenější a spojení dásně a krčku zubu je těsnější. Velkou výhodou je i fakt, že jde o tělu vlastní materiál, a tak můžeme vyloučit jakoukoliv imunitní reakci organismu.
Transplantace zubu je ambulantní zákrok, který se provádí v lokální anestezii, a probíhá při jednom ošetření. Buňky na povrchu kořene zubu zůstanou živé jen několik desítek minut a jejich vitalita je podmínkou pro úspěšné provedení celého výkonu. Nejdříve je provedena extrakce poškozeného zubu a extrakce zubu transplantovaného (nejčastěji třetí stolička) následovaná jeho vložením do lůžka po poškozeném zubu. Transplantovaný zub již v novém umístění je zafixován k sousedním zubům. Za 2 – 3 týdny je třeba zub endodonticky ošetřit a následně opatřit korunkou.
Naši specialisté na autotransplantaci zubu
MUDr. Jan Stuchlík, M.Sc.
MDDr. et Bc. Dominika Kučerová
MDDr. Adéla Sas (roz. Smutková)
MDDr. Barbora Zatloukalová
Ceník autotransplantace zubu
| Autotransplantace zubu | od 10000 Kč |
|---|
Fotogalerie
Transplantace horní stálé osmičky do místa dolní dočasné pětky z důvodu nezaložení zárodku pro stálou pětku
Transplantace horní stálé osmičky do místa dolní dočasné pětky z důvodu nezaložení zárodku pro stálou pětku
Dolní dočasná pětka se zánětem v okolí kořene – zub je vytrhnut
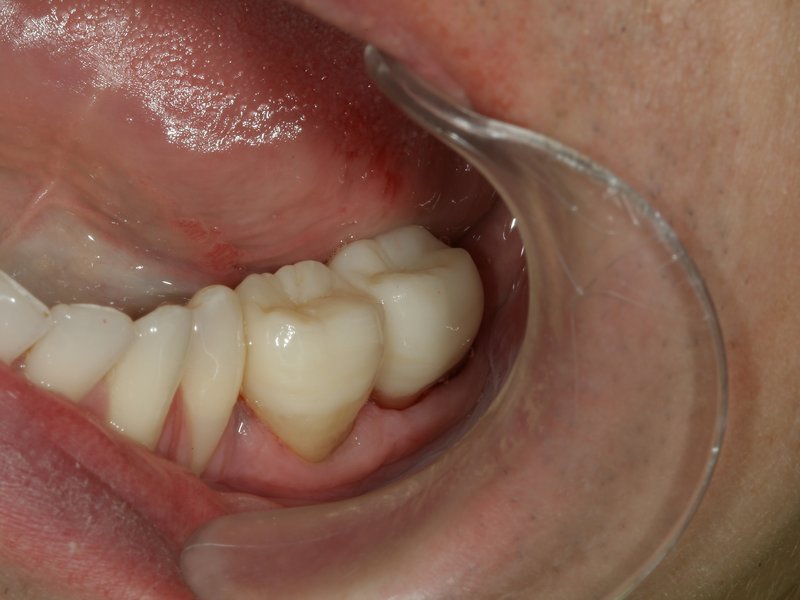
Přenesená horní stálá osmička s již ošetřeným kořenovým kanálkem
Dočasná pětka přetrvávající v dutině ústní z důvodu nezaložení stálé pětky
Destruovaná dolní šestka se zánětem v okolí kořenů byla nahrazena dolní osmičkou, která neměla dostatek místa na prořezání.
Destruovaná dolní šestka se zánětem v okolí kořenů byla nahrazena dolní osmičkou, která neměla dostatek místa na prořezání.
Částečně prořezaná dolní osmička, která má nepříznivou polohu a je bez šance na normální prořezání do dutiny ústní nahradila dolní šestku (vpravo)
Transplantovaná dolní osmička do místa destruované dolní šestky
Nejčastější dotazy a poradna o autotransplantaci zubu
Autotransplantace
Dobrý den,
dnes jsem měla přijít na ošetření sedmičky - vyčištění a zaplnění kanálků a nasazení korunky, ale skončilo to k mojí lítosti vytržením sedmičky vlevo. Jako "útěchu" mi pan doktor sdělil, že vedle mám neprořezanou osmičku, která by mohla být náhradou, ale on že nic takového bohužel nedělá, mám nějakou šanci, že by se tato náhrada dala udělat? Je mi 44let.
Implantace starého zubu
Můžete mi implantovat zub, který mi můj zubař vytrhl před rokem? Mám ho doma schovaný.