Využitím postupů řízené tkáňové regenerace lze dosáhnout částečné obnovy tkání závěsného aparátu, které byly poškozeny zánětem – tzv.parodontitidou. Zásadní podmínkou je ale vynikající ústní hygiena, která zajistí základní předpoklad pro tento chirurgický postup, a to alespoň částečně zhojené parodontální tkáně.
Tento postup provádíme pouze v úzkých indikacích. Jedná se o případy, u kterých běžná konzervativní terapie parodontitidy nevedla k úplnému vyřešení problému.
Pro doplnění kostních defektů používáme augmentační kostní materiál, který překrýváme kolagenní membránou. Ta má velmi důležitou roli, protože oddělí prostor s augmentačním materiálem od sliznice a vaziva. Díky tomu mohou do augmentačního materiálu vrůstat kostní buňky i buňky závěsného aparátu. Neméně důležité je i důkladné sešití měkkých tkání.
Tento způsob ošetření není zcela univerzální a jeho vhodnost pro konkrétního klienta je nutné zvážit až po dokonalém vyšetření.
Fáze hojení trvá zhruba 9 měsíců. Následuje fáze udržovací,
kde je zásadní opět dokonalá ústní hygiena. Obnáší pravidelné kontroly a
ošetření u dentální hygienistky.
Z výše zmíněného vyplývá, že léčba onemocnění parodontu
je poměrně dlouhodobý a složitý proces, kdy hlavní roli hraje dokonalá hygiena
dutiny ústní. Výraznou měrou se tedy na výsledku podílí sám klient. Nejedná se také o jednorázovou léčbu, ale po ošetření je nutné dodržovat nadále velmi dobrou dentální hygienu.
Naši specialisté na tkáňovou regeneraci
MUDr. Jan Stuchlík, M.Sc.
MDDr. et Bc. Dominika Kučerová
MDDr. Adéla Sas (roz. Smutková)
MDDr. Barbora Zatloukalová
Ceník tkáňové regenerace
| Chirurgické krytí obnažených krčků | 14000 - 19500 Kč |
|---|---|
| Augmentace (doplnění kostního objemu) | 4100 -10500 Kč |
Fotogalerie
Obnažené krčky a stav po chirurgickém krytí krčků
Obnažené krčky a stav po chirurgickém krytí krčků
Stav po chirurgickém krytí obnažených krčků
Obnažené krčky a stav po chirurgickém krytí krčků
Obnažené krčky a stav po chirurgickém krytí krčků
Stav po chirurgickém krytí obnažených krčků
Augmentace – kostní defekt vyplněný umělým kostním materiálem
Augmentace – kostní defekt vyplněný umělým kostním materiálem
Zavedený dentální implantát na CT scanu
Zavedený dentální implantát na CT scanu
Dentální implantát v kombinaci s doplněním kostního materiálu
Dentální implantát v kombinaci s doplněním kostního materiálu
Kostní defekt na CT scanu
Augmentace
Augmentace
Chybějící řezáky
Dentální implantáty nahrazující chybějící řezáky
Zavedený implantát a doplnění kosti umělým kostním materiálem na CT scanu
Esteticky nevyhovující rozdílná délka korunek a zabarvená dáseň
Esteticky nevyhovující rozdílná délka korunek a zabarvená dáseň
Úprava délky korunky a okolní dásně
Úprava dásně
Odhalený krček u horního špičáku, vpravo po chirurgickém krytí krčků
Stav po chirurgickém krytí krčků
Odhalený krček u horní dvojky, vpravo po chirurgickém krytí krčků
Stav po chirurgickém krytí krčků
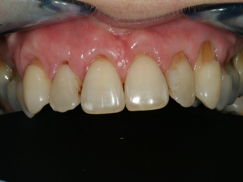
Obnažené krčky na předních zubech, vpravo stav po chirurgickém krytí krčků
Obnažené krčky na předních zubech, vpravo stav po chirurgickém krytí krčků
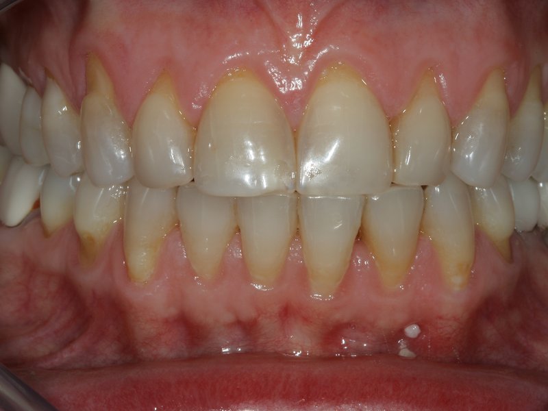
Stav po chirurgickém krytí krčků
Obnažené krčky, vpravo jejich regenerace
Obnažené krčky, vpravo jejich regenerace
Regenerace obnažených krčků
Regenerace obnažených krčků a opravené kazy fotokompozitními výplněmi
Nejčastější dotazy a poradna o tkáňové regeneraci
Chybějící kus dásně
Chybí mi kus dásně u dvojky vpravo nahoře. Dá se s tím něco udělat?