Bělení zubů je chemický proces, kdy aktivní molekuly oxidů uvolňované ze sloučeniny peroxid vodíku nebo karbamid peroxidu pronikají mezi krystaly skloviny, kde odbarvují usazené pigmenty.
Nikdy nelze předem určit, jakého stupně zesvětlení se bělením dosáhne a jak dlouho to bude trvat. Výsledek je závislý na stupni a typu zabarvení zubů. Nejpomaleji se zuby zesvětlují u kuřáků a u lidí, kteří mají zuby poškozené užíváním tetracyklinových antibiotik.
Bělení je bezpečné, pokud jsou zuby a dásně zdravé a provádí se pod odborným dohledem. Před každým bělením je nutné, aby měl pacient ošetřeny všechny kazy a nevyhovující výplně a aby měl odstraněn zubní kámen.
Existují dvě metody bělení zubů - domácí a ordinační.
Domácí bělení
Pro domácí bělení je nutné zhotovit nosiče, do kterých se bude následně aplikovat bělící gel. Prvním krokem je tedy sejmutí otisků obou čelistí, díky nimž se mohou vyrobit správně sedící nosiče.
Nosiče s gelem se nosí několik hodin během dne nebo se nasazují na noc. Záleží na druhu a koncentraci gelu. Bělící proces trvá několik dní, záleží na původním zabarvení zubů. Během této doby a 3 dny po ukončení bělení, kdy se ustaluje konečný odstín zubů, pacient nesmí kouřit, pít kávu, čaj, červené víno a jiné barevné nápoje ani konzumovat potraviny s výraznými pigmenty (např. kečup, sójová omáčka, červená paprika, mrkev apod.).
Před každou aplikací bělícího gelu je nutné si důkladně vyčistit zuby kartáčkem a mezizubní prostory mezizubním kartáčkem nebo nití.
Je lepší používat spíše méně gelu a pokud přeteče z nosiče, je nutné ho okamžitě odstranit. Jinak hrozí poškození dásně.
Pro udržení výsledku se doporučuje opakování bělící procedury 1-2 dny v měsíci.
Obecně se tato metoda považuje za pomalejší, ale levnější a efektivnější.
Ordinační bělení
Ordinační bělení se provádí přímo v ordinaci a trvá cca 2 hodiny. Tento typ bělení zaručuje okamžitý výsledek. Nejprve zubní lékař nebo dentální hygienistka důkladně očistí zuby rotačním kartáčkem a leštící pastou. Poté izoluje dásně speciálním gelem, který je chrání. Následuje aplikace bělícího gel na povrchu zubů. Gel se na zubech ponechá několik minut, poté se opláchne vodou a tento postup se několikrát opakuje. Na závěr jsou zuby fluoridovány.
Důležitá upozornění
- Po každém bělení je nutná kvalitní domácí dentální hygiena. Jen tak je možné si udržet dosažený odstín co nejdéle.
- Bělení může někdy způsobit zvýšenou citlivost zubů a podráždění dásní (např.dočasná citlivost na horké či studené). Jedná se o přechodný stav trvající zpravidla několik dní. Pokud se zvýšená citlivost dostaví, pomůže aplikace fluoridového preparátu (např. Elmex Gelée), které jsou volně dostupné v lékarně.
- Krátce po bělení je vhodné se vyvarovat konzumaci kyselých potravin (ovoce, dresingy v salátech, jogurty) a kyselých nápojů (víno, džus), aby se snížila pravděpodobnost zvýšené citlivosti zubů po bělení.
- Při
bělení se nemění barva bílých výplní ani korunek či můstků, je tedy vhodné
bělení provést před jejich zhotovením.
- Největším zlem pro bílé zuby je kouření, káva, čaj, červené víno.
- Dosažený výsledek přetrvá i několik let, zuby se však vlivem barevných látek v potravě nebo kvůli kouření mohou opět zabarvovat.
Naši specialisté na bělení zubů
Ceník bělení zubů
| Domácí bělení Opalescence (obě čelisti) | 10000 Kč |
|---|---|
| Ordinační bělení Prevdent (obě čelisti) | 13200 Kč |
Fotogalerie
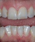
Odstín zubů před domácím bělením a vpravo po bělení
Odstín zubů před domácím bělením a vpravo po bělení
Výsledný efekt po domácím bělení
Odstín zubů před domácím bělením a vpravo výsledek po bělení
Odstín zubů před domácím bělením a vpravo výsledek po bělení
Výsledný efekt po domácím bělení
Odstín zubů před domácím bělením, vpravo po bělení
Výsledný efekt po domácím bělení
Vnitřní bělení zubu - před a vpravo po vnitřním bělení
Vnitřní bělení zubu - před a vpravo po vnitřním bělení
Vnitřní bělení zubu - po
Vnitřní bělení zubu - před a vpravo po vnitřním bělení
Vnitřní bělení zubu - před a vpravo po vnitřním bělení
Vnitřní bělení zubu - po
Nejčastější dotazy a poradna o bělení zubů
Poškozuje bělení zubů sklovinu?
Poškození zubů bělicími činidly na bázi peroxidu nebylo ani přes mnoho výzkumů prokázáno. Na světě už několik desetiletí bělí miliony lidí, což je natolik velká množina lidí, že by se případné problémy už dávno projevily.
Způsoby bělení zubů
Dozvěděla jsem se, že jsou různé způsoby bělení. Jaké mám tedy možnosti?


