Korunková náhrada zubu je funkčním i estetickým řešením rozsáhlé ztráty tvrdých zubních tkání způsobené úrazem, kazem nebo například po endodontickém ošetření.
Pro přesný a dlouhotrvající efekt je potřebný náročný pracovní postup. Nejdříve musíme aplikovat lokální anestezii. Dále je zub nabroušen až na pahýl s přesným schůdkovým zakončením. Následně je nutný precizní otisk zubu a na závěr první návštěvy je vytvořena provizorní pryskyřičná korunka na nezbytnou dobu pro laboratorní výrobu té definitivní. Při další návštěvě je provizorní sejmuta a příslušným postupem nafixována korunka stálá, a to celokeramická nebo metalokeramická (kovové jádro s keramickým vnějším pláštěm).
Zubní laboratoř, s níž spolupracujeme, nabízí také možnost individuálního výběru barvy korunky, čímž se vyhneme zkreslení barvy způsobenému rozdílem vzorníku oproti skutečné keramice.
Alternativa ke korunkám
V současné době jsou často používanou alternativou korunek tzv. onlaye či overlaye. Používají se v zadních úsecích chrupu, a to nejčastěji po endodontickém ošetření. Tyto protetické práce překrývají žvýkací plochu zubu, takže dostatečně chrání oslabený zub před frakturou, ale zároveň maximálně šetří vlastní tvrdé zubní tkáně. Onlaye či overlaye jsou většinou celokeramické, tudíž i estetika je na vysoké úrovni.
Naši specialisté na zubní korunky
MUDr. Jan Stuchlík, M.Sc.
MDDr. et Bc. Dominika Kučerová
MDDr. Adéla Sas (roz. Smutková)
MDDr. Barbora Zatloukalová
MDDr. Martin Pauliška
Ceník zubních korunek
| Celokeramická korunka (včetně preparace, otisků a fixace) | 22750-31300 Kč |
|---|---|
| Celokeramická onlay (včetně preparace, otisků a fixace) | 20500 Kč |
Fotogalerie
Výchozí stav – nevyhovující tvar, barva a kazivá destrukce a vpravo estetická rekonstrukce churpu pomocí keramických korunek
Výchozí stav – nevyhovující tvar, barva a kazivá destrukce a vpravo estetická rekonstrukce churpu pomocí keramických korunek
Estetická rekonstrukce chrupu pomocí keramických korunek
Výchozí stav – nevyhovující tvar, barva a kazivá destrukce a vpravo estetická rekonstrukce churpu pomocí keramických korunek
Výchozí stav – nevyhovující tvar, barva a kazivá destrukce a vpravo estetická rekonstrukce churpu pomocí keramických korunek
Estetická rekonstrukce chrupu pomocí keramických korunek
Výchozí stav – nevyhovující tvar, barva a kazivá destrukce a vpravo estetická rekonstrukce churpu pomocí keramických korunek
Výchozí stav – nevyhovující tvar, barva a kazivá destrukce a vpravo estetická rekonstrukce churpu pomocí keramických korunek
Estetická rekonstrukce chrupu pomocí keramických korunek
Výchozí stav – nevyhovující tvar, barva a kazivá destrukce a vpravo estetická rekonstrukce churpu pomocí keramických korunek
Výchozí stav – nevyhovující tvar, barva a kazivá destrukce a vpravo estetická rekonstrukce churpu pomocí keramických korunek
Estetická rekonstrukce chrupu pomocí keramických korunek
Nevyhovující výplně a barva na šestce a čtyřce a výsledný efekt po bělení a zhotovení celokeramických korunek
Nevyhovující výplně a barva na šestce a čtyřce a výsledný efekt po bělení a zhotovení celokeramických korunek
Výsledný efekt po bělení a zhotovení celokeramických korunek
Nevyhovující výchozí stav a amalgámové výplně s kazem a vpravo rekonstukce horní čelisti celokeramickými korunkami
Nevyhovující výchozí stav a amalgámové výplně s kazem a vpravo rekonstukce horní čelisti celokeramickými korunkami
Rekonstrukce estetického úseku chrupu pomocí celokeramických korunek
Nevyhovující metalokeramické korunky a pro srovnání vpravo celokeramické korunky
Nevyhovující metalokeramické korunky a pro srovnání vpravo celokeramické korunky
Celokeramické korunky
Rozsáhlá nevyhovující amalgámová výplň a vpravo náhrada za keramickou overlay
Keramická overlay nahrazující nevyhovující amalgámovou výplň
Keramické overlaye (vlevo) na šestce a sedmičce a celokeramická korunka na pětce z důvodu rozsáhlé kazivé destrukce zubů (vpravo)
Rozsah destrukce zubu, zuby již napreparované pro keramické náhrady
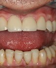
Kazem destruovaný chrup, nevyhovující barva a tvar zubů a vpravo komplexní estetická rekonstrukce celokeramickými korunkami
Komplexní estetická rekonstrukce pomocí celokeramických korunek v horní čelisti v kombinaci s bělením zubů před zhotovením korunek
Zabarvené horní řezáky s nevyhovujícími výplněmi
Výsledný efekt dosažený pomocí celokeramických korunek
Nevyhovující celkový stav chrupu - neestetický tvar řezáků, nevyhovující výplně, barva a tvar zubů. Neestetická metalokeramická a kovová korunka. V postranním úseku v dolní čelisti chybějící zuby. Vpravo po rekonstukci celokeramickými korunkami.
Estetická rekonstrukce pomocí keramických korunek a implantátů
Nevyhovující výplň na horním řezáku a výsledný efekt s celokeramickou korunkou
Výsledný efekt s celokeramickou korunkou
Zuby po preparaci na korunku připravené k otiskování a vpravo s nacementovanými korunkami
Nacementované celokeramické korunky na pětce a šestce
Celokeramické korunky
Celokeramická korunka
Celokeramická korunka
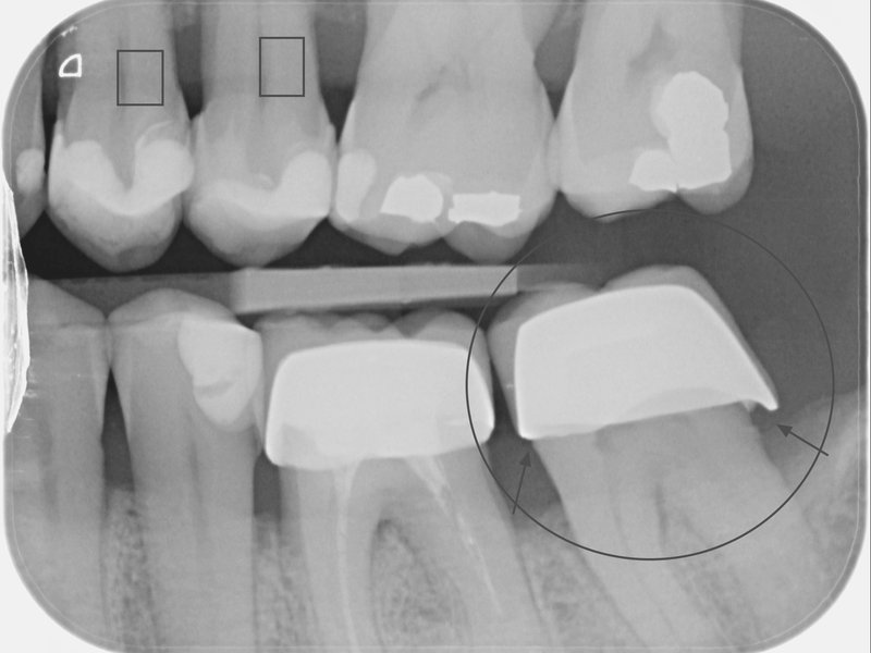
Srovnání přesné korunky (vlevo) a nepřesné korunky (vpravo)
Srovnání přesné korunky (vlevo) a nepřesné korunky (vpravo)
Nepřesná korunka
Nejčastější dotazy a poradna o zubních korunkách
Jaký je rozdíl mezi metalokeramickou a celokeramickou korunkou?
Jádro metalokeramické korunky je z kovu a pro lepší estetiku je na povrchu napálená keramika. Celokeramická korunka je – jak už název napovídá – celá z keramiky. Moderní materiály mají již stejnou mechanickou odolnost, takže z hlediska mechanických vlastností není patrný žádný pro klienta zásadní rozdíl. U celokeramických korunek jsme díky absenci tmavého neprůhledného kovového jádra schopni dosáhnout lepšího estetického výsledku a také vyloučit možnou alergickou reakci na kovy.
Rozdíly mezi druhy korunek
Jaký je rozdíl mezi celokeramickou a metalokeramickou korunkou?
Můj zubař mi doporučuje korunku, je to nutné?
Nechápu, proč mi můj zubař doporučuje korunku. Zub mám jen obroušený a vytahoval mi z něj nervy. Je to opravdu nutné?