Zánět dásní

07.09.2016

Zánět v dutině ústní je nejčastějším jevem, se kterým se stomatologové při preventivních prohlídkách setkávají. A přestože podle statistik určitou formou ústního zánětu trpí až 90% lidí, většina postižených tento problém neřeší nebo o něm dokonce ani neví, protože chronický zánět bolí jen zřídka. Přitom i pouze malý zánět dásně u jednoho zubu, který je ve svém počátečním stádiu dobře léčitelný, může přerůst v parodontitidu – zánět komplexního závěsného aparátu zubu - závažné onemocnění, jehož důsledky jsou bohužel nevratné. Dobrou zprávou však je, že terapie a především prevence gingivitidy, tedy zánětu dásní, je vcelku jednoduchá: správná domácí péče o zuby a pravidelná profesionální dentální hygiena a preventivní prohlídky v ordinaci stomatologa.

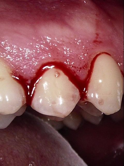
Zánět dásní je infekce vyvolaná bakteriemi zubního plaku, který se tvoří na zubech. Při nedostatečné ústní hygieně, tedy pokud tento plak není pravidelně a důkladně odstraňován, vzniká zánět. Ten se projevuje začervenáním a zvětšením nebo zbytněním dásně, případně její měkkostí a někdy i bolestí. Dáseň je náchylnější k poranění a často může krvácet. Navíc není-li zubní plak pravidelně odstraňován, postupně ztvrdne a změní se v zubní kámen, který poté dáseň dráždí a poskytuje větší prostor pro růst bakteriální infekce. Pokud se onemocnění dásní podaří zachytit v počáteční fázi, lze jej úplně vyléčit. U neléčeného zánětu ale zubní kámen postupně roste a dráždí okolní dáseň, která pak reaguje ústupem. Původní zánět dásní tak vyústí v parodontitidu, kdy společně s dásní ustupuje i kostěné lůžko zubů a následně může dojít k úplné ztrátě chrupu.

 Na vzniku zánětu dásní se spolu s nedostatečnou ústní hygienou může podílet také kouření, stres, cukrovka, vyšší věk, nebo genetické dispozice. Obecně náchylnější k tomuto onemocnění jsou těhotné ženy a diabetici, zánět dásní však v závislosti na kvalitě ústní hygieny může postihnout kohokoli, včetně mladých, jinak zdravých lidí.

Prevence i léčba již probíhajícího zánětu dásní spočívá v důsledné ústní hygieně, a to jak té doma, tak v ordinaci stomatologa nebo dentální hygienistky. Ta nejen profesionálně vyčistí zuby klienta, včetně hůře dostupných míst, a odstraní zubní kámen, ale zároveň poskytne podrobnou instruktáž správné péče o chrup i v domácím prostředí. Náležitou techniku čištění zubů a mezizubních prostor a cíleného každodenního používání mezizubních kartáčků a dentální nitě totiž nic nenahradí.

Jednoznačně nejlepší a zároveň nejjednodušší je ovšem prevence zánětu dásní, která spočívá v  pečlivé domácí ústní hygieně a také v již zmiňovaných pravidelných preventivních prohlídkách v ordinaci zubního lékaře a profesionální ústní hygieně u dentální hygienistky. Oba specialisty by za tímto účelem měl každý navštívit dvakrát ročně. Preventivní prohlídky u zubaře jsou zásadní pro zdraví v ústech každého z nás, a stejně tak profesionální dentální hygiena není kosmetický zákrok, jak se mnoho lidí mylně domnívá, ale léčebný proces, který chrání zdraví zubů a dásní.

Další články z blogu: