Evropané mohou na počátku léta 2012 po všech negativních ekonomických zprávách dát průchod svým emocím při sledování svých fotbalových týmů na ME v Polsku - Ukrajině. Před nedávnem skončilo MS v ledním hokeji a za chvíli nás čeká vrchol sporotvní sezóny - Olympiáda v Londýně. A právě sport má na svědomí nejvíce úrazů zubů.
Mezi postiženými převažují, celkem logicky, se svým vrozeným větším sklonem k riskování, muži. Co se týče věku, nejvíce si zuby při sportu zraňují děti a dospívající. A nepostiženější zuby jsou bohužel horní stálé řezáky. Může za to jejich exponovaná pozice v dutině ústní. Vzhledem k tomu, že se stálé (dospělácké) zuby objevují v ústech již mezi 6. a 7. rokem je potřeba počítat s tím, že ke zlomění nebo dokonce ztrátě stáleho (esteticky nejvýraznějšího zubu) - horního středního řezáku může dojít již ve velmi útlém věku a proto je dobé být jako rodič poučen, jak se zachovat pokud dojde k úrazu zubu.
Evropané mohou
na počátku léta 2012 po všech negativních ekonomických zprávách dát
průchod svým emocím při sledování svých fotbalových týmů na ME v Polsku -
Ukrajině. Před nedávnem skončilo MS v ledním hokeji a za chvíli nás
čeká vrchol sporotvní sezóny - Olympiáda v Londýně. A právě sport má na
svědomí nejvíce úrazů zubů.
Mezi postiženými převažují, celkem
logicky, se svým vrozeným větším sklonem k riskování, muži. Co se týče
věku, nejvíce si zuby při sportu zraňují děti a dospívající. A
nepostiženější zuby jsou bohužel horní stálé řezáky. Může za to jejich
exponovaná pozice v dutině ústní. Vzhledem k tomu, že se stálé
(dospělácké) zuby objevují v ústech již mezi 6. a 7. rokem je potřeba
počítat s tím, že ke zlomění nebo dokonce ztrátě stáleho (esteticky
nejvýraznějšího zubu) - horního středního řezáku může dojít již ve velmi
útlém věku a proto je dobé být jako rodič poučen, jak se zachovat pokud
dojde k úrazu zubu.
Fakt, že prevence je nejlepším řešením,
netřeba zdlouhavě diskutovat. V případě kontaktních sportů (hokej,
bojová umění) vždy zhotovit ochrannou dlahu na zuby, která chrání nejen
zuby, ale i kostní výběžek před jeho zlomením.
Pokud už k
úrazu dojde je třeba především zachovat klidnou hlavu. Při poranění
předních zubů se totiž často poraní i ret, což může být doprovázenou
silným krvácením, které ve skutečnosti zdraví ani život neohrožuje, ale
svým dramatickým obrazem může vyvolat paniku.
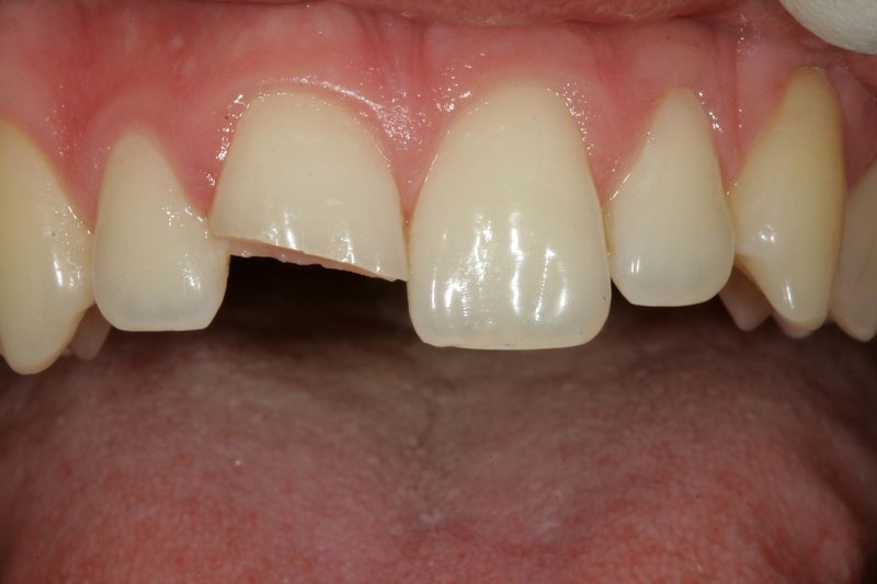
Pokud se část
zubu odlomila je potřeba, pokud je k dispozici, úlomek uschovat pro jeho
případné opětovné přilepení k zubu a také pro kontrolu, že žádný další
úlomek nechybí (není například zaseklý ve rtu, což vyšetří) zubní lékař.
Pokud
dojde k vyražení celého zubu, je třeba zub očistit, zabalit jej do
vlkého kapesníku (optimálně zvlhčeného vlastní slinou nebo uložit do
mléka (povrch kořene zubu nesmí vyschnout - obsahuje totiž živé buňky,
které napomáhají hojení) a co nejdříve vyhledat zubního lékaře.
Pokud
došlo k odlomení části zubu, lze úlomek k zubu buď opětovně přilepit
(viz obrázky) nebo v případě ztráty úlomku chybějící část zubu dostavit
estetickým bílým materiálem.
V případě vyražení zubu hraje
zásadní roli čas, tedy doba mezi úrazem a ošetřením. Pokud se zub uchová
ve vlhkém prostředí (vlastní slina, mléko) a k ošetření dojde do
několika hodin po úraze je velká šance, že zub se po návratu do kostního
lůžka a zdlahování (většinou na 2 týdny) zcela přihojí.
V
následujících měsících je třeba kontrolovat, zda korunka zubu netmavne,
což by mohlo ukazovat na odumření zubního nervu následkem úrazu, ale to
vše dokáže zubní lékař vyřešit.
Vzhledem k tomu, že ke ztrátě
stálého horního středního řezáku může následkem úrazu dojít již v 6
letech a případná náhrada implantátem a korunkou je možná až v 18 letech
(do té doby je nutno nosit nebo zhotovit napevno provizorní zubní
náhradu) je třeba kromě prevence v případě úrazu u dětí dbát na rychlý
převoz k zubnímu lékaři.
Následující obrázky dokumentují ošetření sportovního úrazu u 18-ti letého karatisty.


